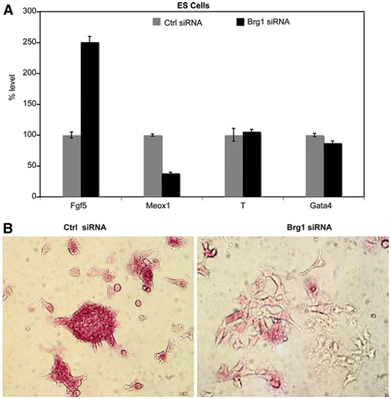
Studies have confirmed that protein Brg1 plays a key role in maintaining embryonic stem cell pluripotency genes

Studies have confirmed that protein Brg1 plays a key role in maintaining embryonic stem cell pluripotency genes

Copyright © iCell Bioscience Inc, Shanghai 2018-2019
Reprogramming adult cells allows them to return to an undifferentiated pluripotent state, laying the foundation for the development of new cell therapies. The accelerated development of this field will depend on the identification of factors that promote pluripotency.
In a new study, researchers from the University of Münster and the Max Planck Institute for Molecular Biomedicine in Germany identified such a protein factor called Brg1.

In this study, the researchers confirmed that the protein Brg1 plays a key role in regulating some of the genes involved in a gene network involved in maintaining embryonic stem cell pluripotency. This same genetic network is the target for the development of somatic cell reprogramming methods.
This study further elucidates the role of BRF1-containing BAF complexes in regulating pluripotency and has an important impact on all cell reprogramming techniques.
Loading ....
